CASE
症例
現在、投稿はありません。
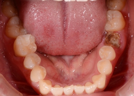
治療前

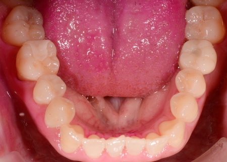
治療後

| 相談内容 | 「左下奥歯の被せ物が取れた。痛みを感じるので診てほしい」とご相談いただきました。 |
|---|---|
| 診断結果 | 拝見したところ、左下奥歯(第1大臼歯)の被せ物が外れていました。 被せ物の土台となっていた歯の根を確認すると割れており、これが原因で歯ぐきの腫れや痛みが引き起こされたと考えられます。 根が割れた歯は治療して残すことが難しく、またこのまま放置すると炎症が広がりまわりの歯にも影響を及ぼす可能性があるため、抜歯が必要です。 以上のことから、抜歯後に抜歯部位を補う治療が必要と診断しました。 |
| 行った治療内容 | 診断結果を丁寧にお伝えしたうえで、左下奥歯の抜歯に同意いただきました。 抜歯後に歯を補う方法として、以下の3つを提案しました。 ①インプラント治療 あごの骨に人工歯根を埋め、その上に人工歯を装着する方法 メリット:自然な見た目と噛み心地が期待できる デメリット:自費診療のため費用がかかる。外科処置が伴うため身体的な負担がある。治療期間が比較的長くなる ②ブリッジ治療 前後の歯を削り、橋渡しのような被せ物で歯を補う方法 メリット:保険診療内でも治療が可能。外科手術を行わずに安定した噛み心地を実現でき、取り外しも不要 デメリット:前後の健康な歯を削る必要がある ③取り外し式の入れ歯 メリット:保険診療内でも治療でき、治療期間も比較的短い デメリット:毎日取り外して手入れをする必要がある。自分の歯や他の方法と比べて噛み心地が劣る傾向がある それぞれのメリット・デメリットを丁寧にお伝えしたところ、患者様は①のインプラント治療を選択されました。 【治療手順】 ①左下奥歯を抜歯すると同時にインプラント埋入手術を行う「抜歯即時埋入」を実施。インプラントを正しい位置と角度であごの骨に埋入する ②インプラントがあごの骨に問題なく定着したことを確認してから型取りを行い,インプラントの上に取り付ける人工歯を作製・装着する ③最後に、装着した人工歯が自然な仕上がりでしっかり噛めることを確認して治療を終了 |
| 治療期間の目安 | 約5ヶ月 |
| おおよその費用 | 510,000円 |
| 治療のリスクについて | ・外科手術のため、術後に痛みや腫れ、違和感を伴います ・メンテナンスを怠ったり、喫煙したりすると、お口の中に大きな悪影響を及ぼし、インプラント周囲炎等にかかる可能性があります ・糖尿病、肝硬変、心臓病などの持病をお持ちの場合、インプラント治療ができない可能性があります ・高血圧、貧血・不整脈などの持病をお持ちの場合、インプラント治療後に治癒不全を招く可能性があります ・自費診療(保険適用外治療)です |
当院の患者様は治療後も予防や健康的な歯を維持するためメインテナンスに通われています。
当院のメインテナンスについてご覧くださいませ。
症例
現在、投稿はありません。
診療科目
当院では、歯周病にまつわるお悩みを中心とした予防歯科に力を入れております。
歯に関するお悩みがありましたらお気軽にご相談下さい。