CASE
症例
現在、投稿はありません。
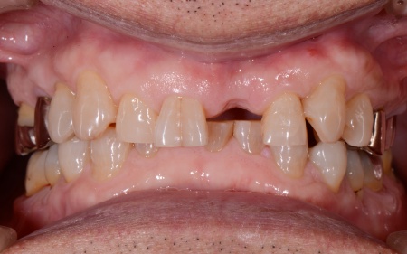
治療前

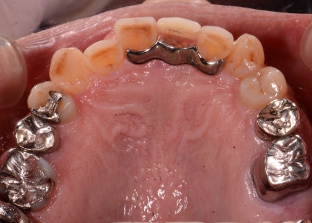
治療中

治療後


| 相談内容 | 「入れ歯を紛失したため、新しい入れ歯を作ってほしい」とご相談いただきました。 |
|---|---|
| 診断結果 | 拝見したところ、左上前歯1本が欠損している状態でした。 この部分には保険診療の入れ歯を装着していましたが、紛失してしまったとのことです。 このまま放置すると、隣の歯が欠損部に近づいて歯並びが崩れたり、欠損部が前歯なので見た目に悪影響が出たりするリスクがあります。 以上のことから、早急に新しい入れ歯を作製する必要があると診断しました。 |
| 行った治療内容 | 患者様は「もとの入れ歯は目立つうえ、使用時の違和感が強い」とおっしゃっていたため、新しい入れ歯には見た目が自然な「ノンクラスプチタンデンチャー」を提案し、同意いただきました。 ノンクラスプチタンデンチャーは留め具に金属のバネを使用せず、歯茎に近い色の特殊な樹脂を用いるため、目立ちにくいのが特徴です。また、保険診療の入れ歯よりも装着感がいいとされています。 ただ自費診療なので費用がかかり、特殊な素材を使用しているため、修理や調整には少しお時間をいただく場合がある点がデメリットです。 まずは入れ歯の型取りを行い、入れ歯の作製を開始します。 後日、完成したノンクラスプチタンデンチャーを装着し、噛み合わせの調整や使用感に問題がないことを確認して、治療を終了しました。 |
| 治療期間の目安 | 約3週間 |
| おおよその費用 | 220,000円 |
| 治療のリスクについて | ・着脱式のため、食後の清掃が必要です ・最初のうちは異物感があり、慣れるまで時間がかかる場合があります ・慣れるまでは、入れ歯の裏側の粘膜に傷ができる場合があります |
当院の患者様は治療後も予防や健康的な歯を維持するためメインテナンスに通われています。
当院のメインテナンスについてご覧くださいませ。
症例
現在、投稿はありません。
診療科目
当院では、歯周病にまつわるお悩みを中心とした予防歯科に力を入れております。
歯に関するお悩みがありましたらお気軽にご相談下さい。