CASE
症例
現在、投稿はありません。
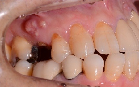
治療前

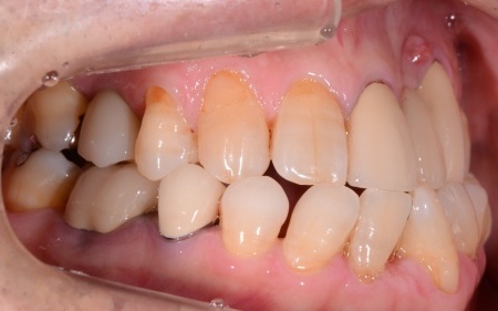
治療後

| 相談内容 | 「右上の歯茎が腫れて、噛むと痛い」とご相談いただきました。 |
|---|---|
| 診断結果 | お口の中を拝見したところ、右上の奥歯(第2小臼歯)の根元に膿が溜まっていました。 レントゲン検査で詳しく調べたところ、歯の根の先端部分に透過像と呼ばれる黒い影が見られ、細菌感染による炎症が根の周囲にまで広がっていました。 このまま放置すると、膿が周囲の骨を溶かし続け、隣の歯にまで影響を及ぼしたり、痛みや腫れが繰り返し起こることで日常生活にも支障をきたす可能性があります。 以上のことから、まずは歯の根の治療(根管治療)が必要であると診断しました。 |
| 行った治療内容 | 歯をできるだけ残すため、まず根管治療を行うことを提案しました。 根管治療は、歯の神経が通る細い管の中にある感染した組織を取り除き、洗浄・消毒したうえで薬剤を詰めて封鎖する治療です。 根管治療から約2ヶ月間経過を観察しましたが、症状の改善には至りませんでした。 そこで、抜歯を行い、その後インプラント治療で機能を回復する方法を提案しました。 インプラント治療は、顎の骨に人工の歯根(インプラント体)を埋め込み、その上に人工歯を装着する方法です。 治療部位以外の健康な歯を削る必要がなく、しっかり噛めるという利点がありますが、外科処置が必要で治療期間が数ヶ月かかること、また保険が適用されない点についても説明し、抜歯およびインプラント治療に同意いただきました。 まず局所麻酔を行い、右上の奥歯を慎重に抜歯しました。 インプラント治療は、抜歯と同時にインプラント体を埋め込む「抜歯即時埋入」という方法を採用しています。この方法は、抜歯部位の骨の状態が良好な場合に選択でき、治療期間の短縮につながります。 抜歯後は、感染した組織を丁寧に取り除き、抜歯窩(歯を抜いた穴)を清掃しました。 続いて、顎の骨に適切な深さと太さの穴を形成し、感染が起こらないように注意してインプラント体を埋入しました。埋入位置や角度は、周囲の歯とのバランスや噛み合わせを考慮して慎重に決定しています。 その後は、インプラント体が骨としっかり結合するまで治癒期間を設けました。 骨との結合が確認できた後、インプラント体に土台(アバットメント)を装着し、型取りを行いました。 最終的に、周囲の歯の色や形に調和した人工歯(上部構造)を製作し、しっかりと固定して治療を終了しています。 |
| 治療期間の目安 | 約10ヶ月 |
| おおよその費用 | 510,000円 |
| 治療のリスクについて | ・まれに根管治療後も再治療、外科手術、抜歯などの処置が必要となる場合があります ・外科処置後に痛みが長引く場合があります。必要に応じ痛み止めを併用します ・外科手術のため、術後に痛みや腫れ、違和感を伴います ・メンテナンスを怠ったり、喫煙したりすると、お口の中に大きな悪影響を及ぼし、インプラント周囲炎などにかかる可能性があります ・糖尿病、肝硬変、心臓病などの持病をお持ちの場合、インプラント治療ができない可能性があります ・高血圧、貧血・不整脈などの持病をお持ちの場合、インプラント治療後に治癒不全を招く可能性があります |
当院の患者様は治療後も予防や健康的な歯を維持するためメインテナンスに通われています。
当院のメインテナンスについてご覧くださいませ。
症例
現在、投稿はありません。
診療科目
当院では、歯周病にまつわるお悩みを中心とした予防歯科に力を入れております。
歯に関するお悩みがありましたらお気軽にご相談下さい。