CASE
症例
現在、投稿はありません。
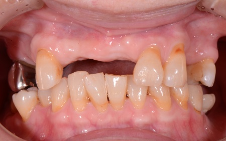
治療前


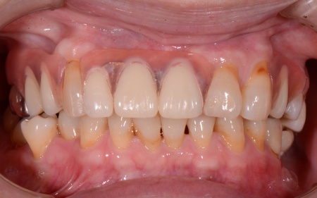
治療後


| 相談内容 | 「違和感のない入れ歯を作りたい」とご相談いただきました。 |
|---|---|
| 診断結果 | 拝見したところ、上の前歯を含め数本の歯が欠損していました。 患者様は保険の入れ歯を使用していますが、装着時の違和感が大きいことを気にされています。 歯を補わずこのまま放置すると、見た目の問題だけでなく隣の歯が欠損部分に倒れてきたり、噛み合う相手の歯である下の歯が伸びたりするリスクがあります。 以上のことから、欠損した歯の機能を補う治療が必要と診断しました。 |
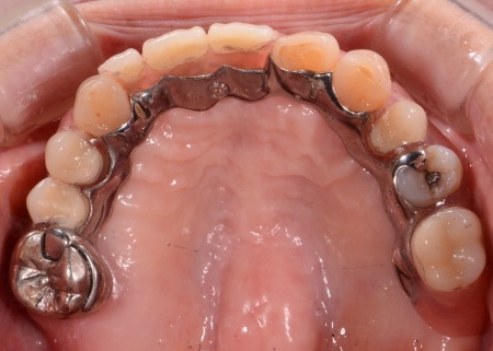
| 行った治療内容 | 保険診療で作製される入れ歯の多くには、入れ歯の浮き上がりや脱落を防ぐために周囲の歯に引っかける金属製のバネ(クラスプ)が付いています。 とくに今回のように前歯が欠損している場合、クラスプが隣接する前歯にかかるため見た目に影響することがあります。 そこで今回は、金属のバネを使用しないノンクラスプチタンデンチャーを提案し、同意いただきました。 ノンクラスプチタンデンチャーは自由診療のため保険診療より費用はかかりますが、歯に引っかける部分を歯ぐきに近い色の樹脂で作ることで、より自然な見た目を実現できます。 さらに外から見えにくい部分に金属を使用することで、保険の入れ歯よりも薄くて丈夫になり装着時の違和感を軽減できます。 まず、上下の精密な歯型を採取し噛み合わせの位置を丁寧に確認したうえで、技工所にて入れ歯を製作しました。 後日、完成した入れ歯を装着して噛み合わせや歯ぐきの痛み、不快感がないよう細部まで調整を行い、治療を終了しました。 |
| 治療期間の目安 | 約4ヶ月 |
| おおよその費用 | 275,000円 |
| 治療のリスクについて | ・着脱式のため、食後の清掃が必要です ・最初のうちは異物感があり、慣れるまで時間がかかる場合があります ・慣れるまでは、入れ歯の裏側の粘膜に傷ができる場合があります |
当院の患者様は治療後も予防や健康的な歯を維持するためメインテナンスに通われています。
当院のメインテナンスについてご覧くださいませ。
症例
現在、投稿はありません。
診療科目
当院では、歯周病にまつわるお悩みを中心とした予防歯科に力を入れております。
歯に関するお悩みがありましたらお気軽にご相談下さい。