CASE
症例
現在、投稿はありません。
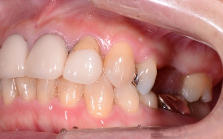
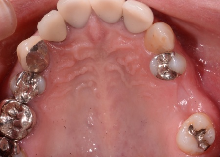
治療前


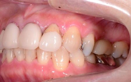
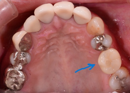
治療後


| 相談内容 | 「左上の歯茎が腫れていて、痛みがひどい」とご相談いただきました。 |
|---|---|
| 診断結果 | 診断結果をもとに抜歯が必要なこと、抜歯後に歯を補う方法として、以下3つの治療を提案しました。 ①入れ歯(義歯) 取り外し可能な人工の歯です。 メリット:外科的な処置が不要で、比較的短期間で歯を補うことができる デメリット:取り外して管理をする必要がある。噛む力が天然歯より弱くなる傾向がある。使用中、ズレや違和感が生じることがある ②ブリッジ 失った歯の両隣を土台として、橋をかけるように人工の歯を固定する治療方法です。 メリット:固定式のため、取り外して管理をする手間がない デメリット:健康な両隣の歯を削る必要がある。土台の歯に負担がかかる場合がある ③インプラント治療 顎の骨に人工歯根(チタン製のねじ)を埋め込み、その上に人工歯を取り付ける治療方法です。 メリット:隣の歯を削る必要がない。固定式のため、安定した噛み心地が期待できる デメリット:外科的な処置が必要になる、治療期間が数ヶ月に及ぶ。骨の量や全身の健康状態によっては、治療ができないケースがある。自費診療なので費用負担が大きい それぞれのメリットとデメリットを丁寧にお伝えしたところ、患者様は「しっかり噛めるようにしたい」との希望から、③のインプラント治療を選択されました。 すでに強い痛みや腫れが出ていたため、来院当日に左上奥歯(第1大臼歯)を慎重に抜きました。抜歯後は、炎症の改善と骨の回復を待ちます。 後日、顎の骨の状態が整ったことを確認し、インプラント治療を開始しました。 まず、顎の骨にチタンの人工歯根「インプラント体」を埋め込む手術を行います。 手術は清潔な環境下で慎重に行い、周囲の骨や歯茎への負担を最小限に抑えられるよう配慮しています。 経過観察後、インプラント体と顎の骨が結合したタイミングで、インプラント体の上に装着するセラミックの被せ物を作製しました。 最後に、完成した被せ物を装着して、見た目や噛み合わせに問題がないことを確認し、治療を終了しています。 |
| 治療期間の目安 | 約9ヶ月 |
| おおよその費用 | 500,000円 |
| 治療のリスクについて | ・持病をお持ちの方や、服用中のお薬の種類によっては、外科処置ができない場合があります ・外科処置後に腫れ、出血が生じる場合があります ・糖尿病、肝硬変、心臓病などの持病をお持ちの場合、インプラント治療ができない可能性があります ・高血圧、貧血・不整脈などの持病をお持ちの場合、インプラント治療後に治癒不全を招く可能性があります ・硬い素材の場合、他の天然歯を傷つけることがあります ・一部の治療を除き、自費診療(保険適用外治療)です |
当院の患者様は治療後も予防や健康的な歯を維持するためメインテナンスに通われています。
当院のメインテナンスについてご覧くださいませ。
症例
現在、投稿はありません。
診療科目
当院では、歯周病にまつわるお悩みを中心とした予防歯科に力を入れております。
歯に関するお悩みがありましたらお気軽にご相談下さい。