CASE
症例
現在、投稿はありません。
治療前


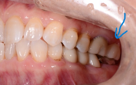
治療後


| 相談内容 | 「左上の奥歯に入っている銀歯が痛む」とご相談いただきました。 |
|---|---|
| 診断結果 | 拝見したところ、左上の一番奥の歯(第2大臼歯)には金属の被せ物が装着されていました。 さらにレントゲン撮影などの検査を行い詳しく確認した結果、歯の根が割れていることが分かりました。 銀歯が被せられている歯は、過去に神経を取る治療を受けているケースが多くあります。 神経を失った歯は時間の経過とともに強度が弱くなり、そこに食いしばりや歯ぎしりなどによる強い噛む力が長期間かかることで、歯の根が割れてしまうことがあります。 今回のように歯の根が割れてしまっている場合、歯を残す治療は困難です。 そのまま放置すると、歯ぐきの炎症が広がったり周囲の歯やあごの骨に影響が出たりする可能性があるため、左上の奥歯は抜歯が必要と診断しました。 |
| 行った治療内容 | 診断内容を丁寧にお伝えしたうえで、抜歯後に歯を補うため、以下2つの治療方法を提案しました。 ①取り外し式の入れ歯 メリット:外科的な処置を行わずに治療でき、比較的短期間で作ることが可能 デメリット:取り外しが必要で、装着したときに違和感を覚えることがある ②あごの骨に人工の歯根を埋め込み、その上に人工の歯を取り付けるインプラント治療 メリット:固定式のためご自身の歯に近い感覚で噛むことができる デメリット:外科手術が必要で自由診療となり、治療期間も比較的長くなる それぞれのメリット・デメリットをお伝えしたところ、患者様は②のインプラント治療を希望されました。併せて治療の流れや外科処置に伴うリスクについてもしっかりとお伝えし、左上奥歯の抜歯とインプラント治療に同意いただきました。 まず、左上の奥歯を抜くと同時にインプラントを埋め込む抜歯即時埋入を行います。 これは、歯を抜いた直後のあごの骨に人工歯根を埋め込む治療方法です。 事前のレントゲン検査で骨の状態を確認し、インプラントを埋め込む位置や角度を慎重に検討したうえで処置しました。 その後、歯ぐきやあごの骨が回復するまで一定期間待ち、インプラントが骨としっかり結合しているかを確認しました。 問題がないことを確認したうえで歯の型取りを行い、インプラントの上に装着する人工歯を作製しています。 最後に完成した人工歯を取り付け、噛み合わせに問題がないかなどを確認し治療を終了しました。 |
| 治療期間の目安 | 約6ヶ月 |
| おおよその費用 | 530,000円 |
| 治療のリスクについて | ・外科手術のため、術後に痛みや腫れ、違和感を伴います ・メンテナンスを怠ったり、喫煙したりすると、お口の中に大きな悪影響を及ぼし、インプラント周囲炎等にかかる可能性があります ・糖尿病、肝硬変、心臓病などの持病をお持ちの場合、インプラント治療ができない可能性があります ・高血圧、貧血・不整脈などの持病をお持ちの場合、インプラント治療後に治癒不全を招く可能性があります ・自費診療(保険適用外治療)です |
当院の患者様は治療後も予防や健康的な歯を維持するためメインテナンスに通われています。
当院のメインテナンスについてご覧くださいませ。
症例
現在、投稿はありません。
診療科目
当院では、歯周病にまつわるお悩みを中心とした予防歯科に力を入れております。
歯に関するお悩みがありましたらお気軽にご相談下さい。